患者さんが望む
治療・手術
病気、怪我は薬やリハビリなど保存的治療が基本になりますが。それでもよくならない場合や進行する際は、手術になることもございます。患者さん誰しも最初から手術をのぞまれる方はおられません。あくまでも治療をうけられるのは患者さんであり、患者さんが痛いために何ができなくて困っていらっしゃるのか、何がしたいのか…それらを考えます。例えば、富士山に行くとして、仮に遠くからいい眺めでみたいのであれば、手術のriskをとる必要はありません。まわりの環境をかえる、つまりいい眺めの場所を探せばいい。あくまでも自分の足で登りたいのか、それも麓から登るのか、5合目から登るのかによっても手段は異なります。私たちは、患者さんのお話をじっくりお聞きし、十分にお話をするように心がけています。
手術や術後ケアも患者さんやご家族と一緒に乗り越えていきたい
手術は、リスクもありますので、正直腹を割ったお話が必要です。また基本的には、患者さんご本人だけでなく、ご家族の方の了承をえた患者さんを中心に手術を行います。術後コルセットの着脱や通院投薬などの際の実質的なサポートや励ましなどの心のケアが必要になるからです。患者さんご本人のみならず家族のお考えを優先し、あくまでも僕らはお手伝いの立場です。手術はもちろん成功が前提ですが、術前後のリハビリテーションや疼痛コントロールも大きな位置を占めています。手術だけがうまくいっても、術後痛みで早期にベッドから起きられなければ意味がありませんし、術後のリハビリは辛いものです。それを我々スタッフと一緒に乗り越えて頂きたい、そう考えています。

本当にして良かったと思っていただけるように
私たちは、術直後だけではなく、1年後また5年10年したときに、本当にしてよかったと思ってもらえるかが大切と思っています。住む家も同じで新築の家は気持ちがいいものですが、長い年月では劣化もしますし災害もあるでしょう。そのときに最良の方法で乗り越える、それも含めてが治療と考えています。大きな病院でやる安心感もありますが、小規模であるからこそできる治療、自分たちの家族のつもりで接し、患者さんの立場になってできる医療を推し進めていきたい…私たちはそのように考えています。

はりま病院
整形外科手術の特長

手術

入院・療養

リハビリ
整形外科手術 部位別割合


足の手術
- 足 :3.8%
- 大腿:20.2%
- 下腿:32.2%
- 膝 :3.5%
- 股 :28.5%
- 腱 :5.2%
- 他 :6.6%
手の手術
- 上腕・前腕:43.7%
- 手 :37.0%
- 指 :18.9%
- 肘 :0.4%
脊椎・脊髄の手術
- 脊椎
- 脊髄
- 椎間板
肩の手術
- 脊肩
- 鎖骨
その他
- 顎関節
- 靱帯断裂縫合
- 皮膚、皮下腫瘍摘出術創傷処理
「手」「足」「肩関節」「脊髄・脊椎」を始めとする全ての運動器疾患に対し、
各領域の専門医が、個々の患者さんに最適な手術治療を提供しています。
専門的な手術
腰椎顕微鏡手術
XLIF (エックスリフ) / 腰椎側方椎体間固定術
腰痛・下肢の痛みを取り除くための、新しい手術法
これまで、腰椎の手術では、切開して骨を直接見て削っていた例が多かったですが、神経を直接見ず間接的に除圧することで患者様の負担の少ない安全性の高い手術が可能になりました。
当院では、脊柱管狭窄症(きょうさくしょう)、すべり症などの手術で、XLIFを導入しています。
XLIFの
メリット
- 手術侵襲(しんしゅう)が少ない
- 手術時間が短縮
- 出血が比較的少ない
- 足の痛みや歩行困難がよくなることが多いなど



ゆるんだ糸をピンと張るように、椎間孔の高さをあわせ、靱帯を張ります
従来、腰椎脊柱管狭窄症は椎弓切除術など、直接除圧をおこなってきましたが、その中に「すべり」や「側弯」などが合併していると改善率が低いことが報告されています。実際我々の経験でも同じ印象でした。最近、新しく間接除圧という概念で手術が行われています。基本、椎間孔狭窄を有する患者さんが適応になります。椎間板腔が減少し、靭帯がたくれこむことで脊柱管がせまくなったような症例です。XLIFは、側方侵入で大腰筋から直接椎間板にアプローチします。神経モニタリング下に安全に椎間板を除去し大きなケージを挿入することで椎間板高さをあげ、椎間孔狭窄を解除します。出血量が少なく、これに経皮的椎弓根スクリュー挿入により手術時間も短縮されています。ただ、絶対に安全というわけではなく、腸管血管損傷などの危険性もあります。これに対しては、術前に血管造影やCT検査等を十分に行い、手術が安全に行えると評価・判断した症例に対して手術を行います。さらに術中は、神経モニタリング装置を行いより安全性の高い手術を行っています。
脊椎圧迫骨折手術
脊椎圧迫骨折に対する新しい治療法BKP(バルーンカイフォプラスティ) / 経皮的椎体形成手術
骨粗鬆症による、脊椎圧迫骨折(偽関節)の治療のための、新しい治療法

高齢者の方の背骨は骨粗鬆症のため弱くなっているので、軽微な外傷で骨がつぶれことがあります。
圧迫骨折が生じると強い痛みで長い時間すわれない、立てないなどの日常生活に困ることがあります。
背骨の中が空洞になって痛みの原因になる場合があります。

皮膚から針を入れ、バルーン(風船)を膨らませた後、膨らんだ部分にセメントを充填して固めることで痛みをとる治療法です。
BKPの
メリット
- 小切開のため、患者さんの身体的負担が少ない
- 痛みが早期に和らぐことが多く、手術当日より歩くことができる方もいます
- 入院期間が短くて済む
通常、骨折は仮骨形成し骨が治癒していきますが、中に偽関節といって骨がつかない状態がまれにみられます。この場合、脊椎では椎体の中に空洞ができてしまいます。これによって、椎体内が不安定な状態になり、痛みがとれず長時間すわれないなどの症状がでます。
ほとんどの圧迫骨折では、コルセットやPTHの造骨促進治療で治癒しますが、この状態になると、待っても改善しにくく時間だけが経過し患者さんが無駄に時間を費やし不利益になることが予想されます。この場合、椎体の中の空洞にセメント注入し除痛をはかります。
当科では、受傷直後ではなく6週前後十分は保存治療(コルセット、PTH)をおこなっても
痛みが残存し日常生活に不便を感じる方が対象になります。この治療も、注入時の肺塞栓や、術後中長期に隣接椎の骨折がみられる場合もあり注意深い観察を行います。
人工関節手術
股関節・膝関節 人工関節 手術
スポーツ障害に悩むトップアスリートをはじめ、運動部の学生さんやスポーツ愛好家の
皆様の治療・サポートをしています。
股関節・膝関節の手術においては、骨折固定術、人工関節置換術、靭帯再建術、骨切り術などを行い、術中はもちろん、術後の痛みも取り除く神経ブロックの併用例も豊富です。また、関節外科・スポーツ整形外科の専門医による関節鏡視下手術にも対応しております。
ぜひご相談ください。

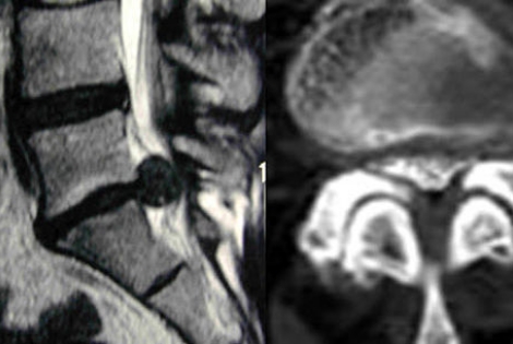
内視鏡下椎間板摘出術
PED / 内視鏡下椎間板ヘルニア摘出術
体への負担が少ない内視鏡下椎間板ヘルニア摘出術
(PED:Percutaneous Endoscopic Discectomy)
椎間板ヘルニアは、背骨の骨と骨の間でクッション材の役割を果たす椎間板の一部が飛び出して神経を圧迫し、手足に痛みやしびれが生じる病気です。
当院は、中度~重度の椎間板ヘルニアの治療方法として、体への負担が少ない内視鏡下椎間板ヘルニア摘出術(PED:Percutaneous Endoscopic Discectomy)を取り入れています。
PEDでは、直径6~7mmの鉗子をヘルニアの部位に挿入し、内視鏡画像をモニターに拡大表示しながら行います。
PEDの場合、局部麻酔による手術となり、短時間(1~2時間ほど)で終わります。また、傷口は6~7mm程度で、抜糸も必要ありません。早くて手術翌日には退院できるため、体に優しい手術と言えるでしょう。
PEDの
メリット
- 術後の疼痛が軽減し、早期に日常生活に戻れる事が多い
- 脊柱の安定性を損なうことが非常に少ない
- 合併症のリスク、特に高齢者の患者様のリスクが少なくて済む
- 入院期間が短くて済む
手術概要
| 手術時間 | 1~2時間程度 |
|---|---|
| 入院期間 | 1日~2日 |
| 回復まで | 1週間程度 |
| 通院期間 | 1~2カ月 |
使用機器
-
小鉗子
内視鏡で確認しながら小鉗子でヘルニアを切除・摘出します。
















