
脳ドック(MRI検査)について
自覚症状がなくても30歳を過ぎたら受診ください。
人間ドックは40歳過ぎたころから行うことが多いようですが、脳ドックの場合は出来れば30歳を過ぎたら一度は受診することをおすすめします。
人間ドックに比べるとまだ馴染みが薄い言葉でしょうが、脳を対象としたものだと考えてください。例えば、家族に脳卒中の方がいたり、糖尿病の治療中だったり、慢性的な頭痛に悩まされていたり、高血圧である人は、近いうちに必ず一度は受診することをおすすめします。また、自覚症状が全くない場合でも脳卒中を心配される方や脳の詳しい検査を望む人は検討してみてください。昨日まで元気だった人が脳卒中で突然倒れたなんて事は珍しい話ではないのです。自覚症状が全くないから大丈夫。といった自己判断はとても危険です。
こんな方には、脳ドックの受診をおすすめいたします
- 30才以上の方、特に40〜50歳の方で、今までに一度もMRIの検査を受けた事がない方
- 糖尿病・高血圧・高脂血症で長くかかっている方
- ご家族に脳血管疾患(クモ膜下出血や脳出血・脳梗塞など)の発症歴がある方
- 心筋梗塞か狭心症の病歴のある方
脳ドックのコース紹介
-
Aコース
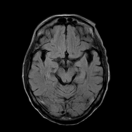
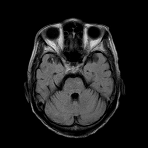
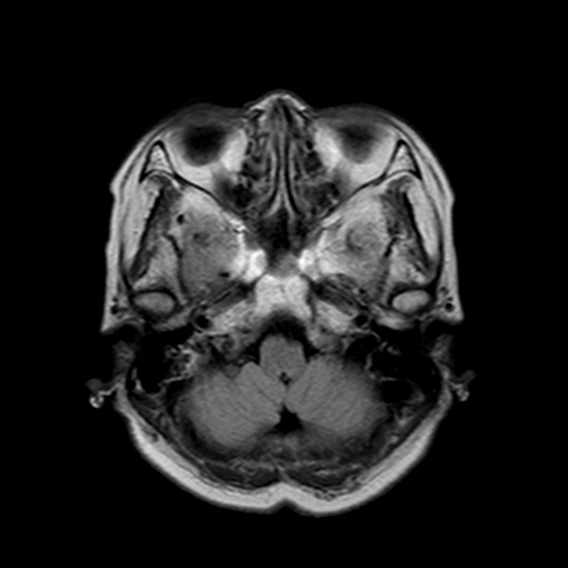
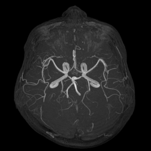
頭部MRI・MRA検査
MRIは頭部の断層像で脳腫瘍や梗塞、出血がわかります。MRAは、血管のみ抽出した検査で、くも膜下出血、脳動脈瘤など脳内血管障害の発見に用います。
実施日・時間 22,500円(税込み) -
Bコース
頭部MRI・MRA検査/頸部MRA検査/頚動脈超音波検査 セット
脳ドックAコースの内容+脳に入る手前の血管(左右の内頚動脈や椎骨動脈など)の走行を併せて診ることにより、より詳しい狭窄の有無や程度、奇形や病的異常などがわかります。
実施日・時間 41,000円(税込み)
頭部MRIやMRAでなにがわかるのか?
CT検査では、体や頭を輪切りにした横断面が主体ですが、MRI検査では、縦、横、斜め、あらゆる方向から撮影することができます。ともにX線を使わないので、放射線による被爆の心配もありません。
MRI検査
磁気と電磁波、それに水素原子の動きを利用して、体の断面を撮影する検査で、磁気共鳴画像検査ともいいます。詳細は省きますが、体内の水素が反応して発した信号を捕らえて、コンピューターで解析して画像にしたものです。
MRA検査
MRIの撮影技術を使って、血管を描出する方法です。頭蓋内外の重要な動脈(総頸動脈、内頸動脈、ウィリス輪、椎骨動脈、脳底動脈)の変化をとらえることができます。
MRIではCT検査と同様、腫瘍の大きさや形、数などがわかります。また、MRAでは脳動脈瘤、脳梗塞、脳動静脈奇形、もやもや病、閉塞性動脈病変などの脳血管障害がわかります。脳ドックでは、くも膜下出血の原因となる脳動脈瘤のスクリーニング検査としてよく用いられています。
診療受付時間
- 8 時 30 分 ~ 11 時 30 分
- 13 時 00 分 ~ 16 時 00 分
- 診療科により受付時間が異なります 詳しくは外来診療担当表をご確認ください
- 休診日
- 土曜午後、日曜、祝日
診療科目
内科・消化器内科・内視鏡内科・循環器内科・脳神経内科・内視鏡外科・整形外科・麻酔科・リハビリテーション科






